Lo Studio Asor offre servizi odontoiatrici all’avanguardia per soddisfare le esigenze dei pazienti.
Il nostLo Studio Asor offre servizi odontoiatrici all’avanguardia per soddisfare le esigenze dei pazienti.
Il nostro studio è specializzato in sbiancamento dentale con laser e implantologia in sole 24 ore. Da poco siamo anche uno studio autorizzato Invisalign, offrendo soluzioni moderne e discrete per l’allineamento dentale.
Utilizziamo tecnologie avanzate come la laserterapia a ozono e scanner per impronte digitali. Ci distinguiamo per la qualità dei nostri servizi e il comfort dei pazienti, grazie a un team altamente qualificato e ai riconoscimenti ottenuti nel settore.
01.
02.
03.









Portare il tuo bambino dal dentista fin da piccolo non è solo importante… può diventare un’esperienza serena e positiva!
Controlli regolari aiutano a:
– Prevenire carie e problemi futuri
– Abituare i bambini alla visita senza paura
– Insegnare una corretta igiene orale fin da subito
Nel nostro studio accogliamo i piccoli pazienti con attenzione, dolcezza e un ambiente pensato per farli sentire a proprio agio
Prenota oggi la prima visita: il loro sorriso di domani inizia da qui!
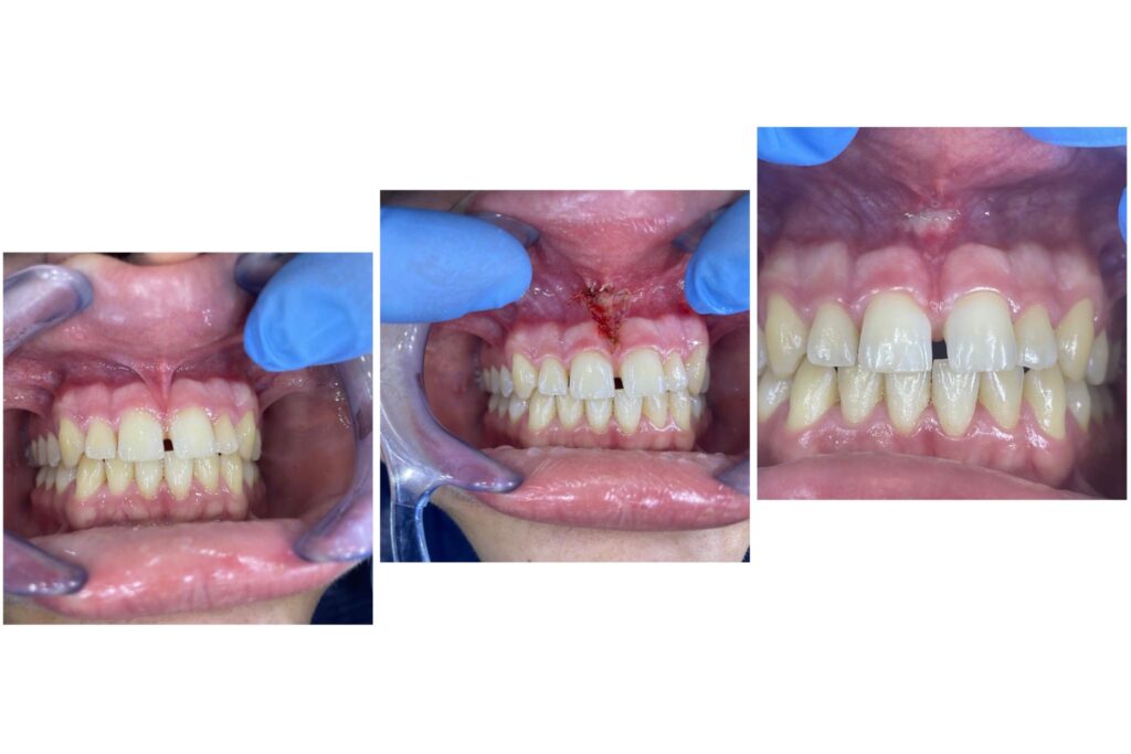
Grazie alla gengivectomia laser, oggi è possibile ottenere risultati precisi, minimamente invasivi e con tempi di recupero rapidi.
• Maggiore precisione nel rimodellamento gengivale
• Riduzione del sanguinamento intraoperatorio
• Minore discomfort post-operatorio
• Guarigione più rapida
Prima & Dopo
Il cambiamento è evidente: gengive più proporzionate, denti valorizzati e un sorriso più luminoso e naturale.
Ogni trattamento è personalizzato, perché ogni sorriso è unico.
Affidati a tecnologie avanzate e competenze specialistiche per risultati sicuri e duraturi.
La gengivectomia è un trattamento rapido e minimamente invasivo che rimodella il profilo gengivale, valorizzando i tuoi denti e rendendo il sorriso più proporzionato ed elegante.
I vantaggi:
– Risultato immediato
– Procedura sicura e precisa
– Miglioramento estetico naturale
Nel nostro studio utilizziamo tecnologie moderne e un approccio personalizzato per garantirti il massimo comfort e risultati eccellenti.
Da Asor Dental sorridi senza imbarazzo!
Prenota una consulenza e scopri come possiamo trasformare il tuo sorriso!
Nel nostro studio utilizziamo sistemi di impronta digitale di ultima generazione che impiegano tecnologia scanner per acquisire immagini estremamente precise dell’arcata dentale
Precisione digitale e tecnologie avanzate ci permettono di offrire cure sempre più efficaci, personalizzate e minimamente invasive, riducendo notevolmente i tempi alla poltrona.
Asor Dental : L’Innovazione al servizio del tuo sorriso.
Prima e dopo un trattamento di sbiancamento dentale: un cambiamento visibile che valorizza il tuo sorriso.

Affidati a professionisti per risultati sicuri, efficaci e naturali.
Contatti
Tel: 3383245505
Indirizzo: Vicolo Starza, 3, 80053 Castellammare di Stabia NA